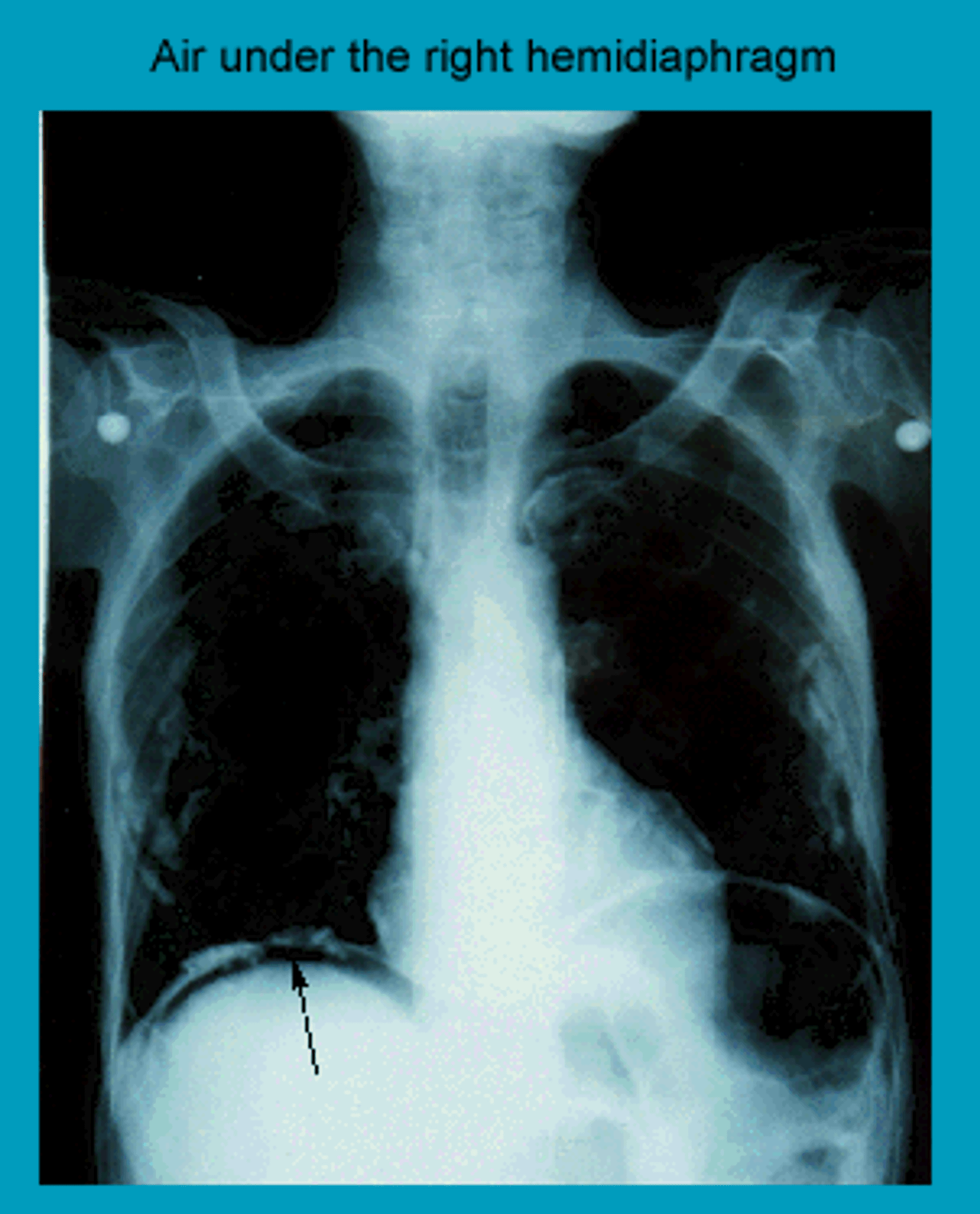
Aire bajo el diafragma en la radiografía de tórax
Traducido del inglés. Mostrar original.

Crear una cuenta para añadir anotaciones a la página
Añada a esta página información que sería útil tener a mano durante una consulta, como una dirección web o un número de teléfono. Esta información se mostrará siempre que visite esta página